امروز 7 خرداد 1405

الگوریتم تقسیم تومور ریه به بخشهای مختلف

امین عسگری

الگوریتم تقسیم تومور ریه به بخشهای مختلف

امین عسگری

الگوریتم تقسیم تومور ریه به بخشهای مختلف

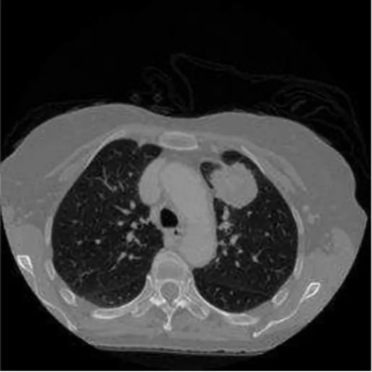
موضوع اصلی این مقاله یک توسعه از الگوریتم مبتنی بر پردازش تصویر پزشکی برای جداسازی تومور ریه در تصاویر CT است که به دلیل عدم وجود چنین الگوریتمی ها و رویکردهای مورد استفاده برای تشخیص تومور است.

7 خرداد 1398

مهارت‌های استفاده شده

متلب پزشکی مهندسی مخابرات

7 خرداد 1398

امین عسگری امین عسگری

امین عسگری

سایر نمونه‌کارهای